NASLOVNICA | O NAMA | USLUGE | GALERIJA | SLUČAJEVI | SAVJETI | KONTAKT |
Konzervativa
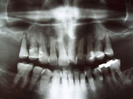
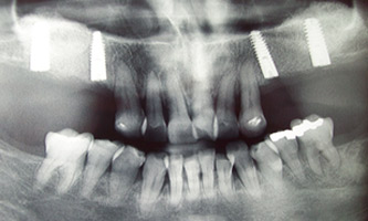
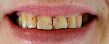
prije
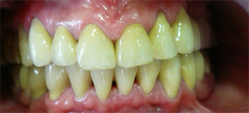
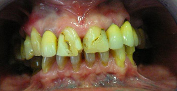
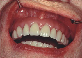
poslije
Fiksna protetka
Mobilna protetika
Kirurgija / implantologija
Dentalni laboratorij